審美治療
Aesthetic Treatment審美治療とは?

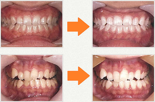
審美治療は、歯の色、形、歯並び、歯肉のバランスなど、見た目の美しさを重視した治療です。歯の表面や内部に沈着した着色を専用の薬剤で分解し、歯本来の白さを引き出すホワイトニング治療や、虫歯などで失った歯質を天然歯に近い色や質感を持つセラミックで補うセラミック治療などがあります。
審美治療の
種類と費用
(税別)
つめもの、かぶせもの
古くなった差し歯や目立つ銀歯をセラミックやジルコニアの歯で綺麗で自然な歯に戻すことができます。最近、いろいろな不定愁訴に金属アレルギーとの関連が疑われています。セラミックやジルコニアを使用し、健康的なメタルフリーの口腔にすることもできます。口腔内や全身状態、歯の状態によって適応症が異なります。
※詳しくはスタッフにご相談ください。

ジルコニア
| つめもの (インレー)1歯 | ¥35,000 |
|---|---|
| かぶせもの (クラウン)1歯 | ¥90,000 |
ジルコニアは、酸化ジルコニウムを主成分とするセラミックの一種です。
特性
- 高い強度と耐久性
- 優れた審美性
- 金属アレルギーの心配がない
- 変色や劣化が少ない
- ジルコニアは化学的に安定しており、長期間使用しても変色や劣化が少ないため、患者様にとって安心な素材といえます

ゴールド
| つめもの (インレー)1歯 | ¥50,000+金属代 |
|---|---|
| かぶせもの (クラウン)1歯 | ¥90,000+金属代 |
ゴールドは、金合金を使用した歯科材料です。
特性
- 汚れが溜まりにくく、耐久性に優れている
- 強度としなやかさのバランスが取れている
- 長寿命であり、歯への適合性が高い

入れ歯(義歯)

バイタリュウム床(金属床義歯)
金属床では一般的なCo-Cr合金を使用しています。
| 総義歯 | ¥250,000 |
|---|---|
| 部分床義歯 (4歯まで) | ¥220,000 |
| 部分床義歯 (5歯以上) | ¥240,000 |
チタン合金床(金属床義歯)
チタン合金を使用し、バイタルリュウム床より極めて薄くでき、違和感が少なく超軽量です。
| 総義歯 | ¥375,000 |
|---|---|
| 部分床義歯 | ¥350,000 |
※オプション
目立ちにくいバネにもできます。
| Iバークラスプ (1ケ所につき) | ¥10,000 |
|---|---|
| RPIクラスプ (1ケ所につき) | ¥10,000 |
保険のプラスチックでできた義歯と比べて義歯の骨格が(フレーム)金属で作られている。そのため…
利点・1
非常に薄くでき、違和感がない。
利点・2
歪みたたわみがないため、よく噛める。
利点・3
適合が大変よく、ぴったりしている。
利点・4
食べ物の温度がよくわかる。
利点・5
バネをかけている歯が弱りにくい。
保険の義歯とは全く別物です。海外では仮の義歯程度の評価しかありません。非常に精密で長持ちします。義歯でお困りの方には一度、是非お勧めします。
その他の入れ歯(義歯)

マグネットデンチャー
| マグネット 1ケ所につき | ¥35,000+義歯代 |
|---|
残っている歯根と義歯の中に医療用磁石を埋め込み、義歯が外れにくいようにしたものです。金属床義歯、保険グレード義歯に組み込めます。通常1ケ所から4ケ所に組み込みます。主に総義歯や欠損の多い大きな部分床義歯に適応です。

スマートデンチャー
| 通常型 | ¥180,000 |
|---|---|
| 金属床ベース | ¥250,000 |
バネがレジン(厳密にはビニール系)で作られているため、バネが目立ちません。義歯のバネが気になる方に最適です。金属のバネ(クラスプ)に比べて剛性が劣るため、噛み心地は通常の金属床義歯に比べてやや劣ります。

金合金床
| 総義歯 | ¥500,000 |
|---|
フレームが金合金です。レベルの高い適合性です。黄金色ですが、意外に口腔粘膜とマッチします。

ミリングデンチャー
| ¥500,000より、別途お見積りいたします。 |
バネの無い金属床義歯ですので、義歯が目立ちません。残っている歯に非常に精密に適合するため、ブリッジに近い噛み心地で食べ物がよく噛めます。
※部分床のみになります
審美治療に関するリスク・
副作用について

審美治療には、以下のようなリスクと副作用が考えられます。
歯の感染や神経損傷
治療中に感染や神経損傷が発生する可能性があります。
歯茎の腫れや感染症
治療後には歯茎の腫れや感染症が起こることもあります。
知覚過敏
歯を削るセラミック治療などでは、治療後に冷たいものがしみる知覚過敏の症状が出ることがあります。
セラミックの破損
セラミックは金属に比べて強い衝撃に弱く、欠けたり割れたりするリスクがあります。
歯並びの根本的な改善
審美治療は根本的な歯並びを改善する治療ではありません。
これらのリスクを避けるためには、当院では事前のカウンセリングを十分に行います。また、治療後には腫れや痛み、感染といった一般的な問題が発生することがありますが、これらは多くの場合数日間で自然に解消しますので、ご安心ください。ご疑問点などございましたら、お気軽にお尋ねください。よろしくお願い致します。
ホワイトニング
(税別)
ホワイトニングとは、歯の表面に付着した汚れを落とし、歯を白くする方法です。 具体的には、専用の薬剤やレーザー治療を用いて、歯の色素を分解し、元々の自然な白さを引き出します。ホワイトニングには、オフィスホワイトニングやホームホワイトニング、その両方を併用するデュアルホワイトニングがあり、それぞれ効果や費用が異なります。


オフィスホワイトニング
| オフィスホワイトニング | ¥30,000 |
|---|
歯に為害性の少ない薬品を用いて、歯を白くします。クリニックでスタッフが施術いたします。時間は約1時間。一回もしくは二回の施術で白い綺麗な歯になります。ただし、先天性の歯の変色や後天性の着色の程度によってはホワイトニングが有効でない場合もありますのでご相談ください。

ホームホワイトニング
| ホームホワイトニング | ¥30,000 |
|---|
ホームホワイトニングとは個人用のマウスピースを歯科医院で作成し、そこに薬を入れて一日数時間、数日間装着し、歯の表面から漂白する方法です。患者様が自宅で出来る処置なので、簡便なのが特徴です。ただし、自己管理で行う治療ですので、規定時間以上に使用してしまうことで歯の表面が弱くなるなどの弊害が出る可能性がありますので、注意が必要です。

デュアルホワイトニング
| デュアルホワイトニング | ¥45,000 |
|---|
デュアルホワイトニングは、歯科医院で行う「オフィスホワイトニング」と、自宅で行う「ホームホワイトニング」を併用する方法です。この組み合わせにより、即効性と持続性を兼ね備えたホワイトニング効果が得られます。オフィスホワイトニングでは高濃度の薬剤を使用し、短期間で目に見える効果を得ることができます。一方、ホームホワイトニングは、じっくりと歯を白くするため、効果が長持ちします。
ホワイトニングに関するリスク・
副作用について

ホワイトニングには、知覚過敏、色ムラ、歯肉の刺激・炎症、歯の表面がざらつく・ツヤが失われるなどのリスクがあります。これらの副作用は、ホワイトニングの方法や施術の頻度、個人差によって異なることがあります。
知覚過敏
施術後、一時的に歯の神経が敏感になり、冷たいものや熱いものを口にした際に「しみる」「ズキズキする」といった不快な症状が出ることがあります。
歯肉の刺激・炎症
ホワイトニングで使用する薬剤が歯肉に触れると、一時的に「赤くなる」「ヒリヒリする」「腫れる」といった刺激や炎症を感じることがあります。
歯の表面がざらつく・ツヤが失われる
施術後、「歯の表面が以前よりざらざらする」「光沢がなくなったように感じる」といった訴えが、ごく一部の方に見られます。
当院では、上記のリスク・副作用が極力起きないように適切な対策を講じ、治療を行いますので、ご安心ください。
審美治療に関する
お問合せ
